医療法人社団 あいファミリー歯科医院 北海道旭川市永山7条9丁目7-1 電話:0166-48-7655

あいファミリー歯科医院

旭川市永山7条9丁目7-1

審美歯科治療

fotolia_6959657.jpg whi1.jpg tio10_20201013224612038.jpg

HOME | 審美歯科

美しい口元・審美

Cosmetic dental

bij.jpg whi_20200429221807394.jpg whit.jpg

当院の「ハッピースマイル作り!」
これを実現するには審美治療を外せません。
 
白く輝く、美しい口元!
それは精神的にも大きな影響を与え、自然に素敵な笑顔を生み出します。
 
審美歯科とは、歯の美しさに焦点を当てた総合的な歯科医療のことです。
美しい歯並びと、白く美しい歯を手に入れ、心からの笑顔を手にするための治療を行っております。

ホワイトニング

Whitening

寝ている間に歯を白く

tio10.jpg whit.jpg kire2.png
ホームホワイトニング

自宅にて好きな時間にマウスピースを使い、歯を薬品で浸して美白くするのが、ホームホワイトニングです。
美白剤の主な成分は過酸化尿素で、劇薬の過酸化水素での漂白より安全で知られております。
欧米では、すでに100万人以上の方がこの技術で歯を美白しています。
喫煙や、コーヒー・紅茶の飲用などによる歯の変色、老化や遺伝による黄ばみにも優れた効果があります。

オフィスホワイトニング

歯科医院で行うホワイトニングをオフィスホワイトニングと呼びます。
強い薬を歯に塗って、強い光で加熱することによって効果を現します。
歯と歯茎に健康上のリスクを伴う上に、色が後戻りしやすい欠点があります。
※当院ではオフィスホワイトニングをオススメしておりません。

寝ている間に歯を白く

tio10.jpg whit.jpg kire2.png

 
 

ホームホワイトニング

自宅にてお好きな時間にマウスピースを使い、歯を薬品で浸して美白くするのが、ホームホワイトニングです。
 
美白剤の主な成分は過酸化尿素で、劇薬の過酸化水素での漂白より安全で知られております。
欧米では、すでに100万人以上の方がこの技術で歯を美白しています。
喫煙や、コーヒー・紅茶の飲用などによる歯の変色、老化や遺伝による黄ばみにも優れた効果があります。
 

オフィスホワイトニング

歯科医院で行うホワイトニングをオフィスホワイトニングと呼びます。
強い薬を歯に塗って、強い光で加熱することによって効果を現します。
歯と歯茎に健康上のリスクを伴う上に、色が後戻りしやすい欠点があります。
※当院ではオフィスホワイトニングをオススメしておりません。


ホワイトニングの流れと費用

wh1.jpg whi2_20201013224621236.jpg pe.jpg
1回目

・漂白の方法及び、料金についてご説明「漂白の注意事項説明・同意書」をお渡し

2回目

・治療対象部位と費用の合意確認・術前写真の撮影
・歯牙への薬剤貼付専用マウスピース(カスタムトレイ)の作製のための型どりを上(下)から始めます。
理由
上・下同時ではカスタムトレイの装着も大変なので漂白の効果を実感してもらい、どこまで進めるかの判断基準を残しておくため

3回目

・カスタムトレイの試適と調整
・歯牙表面のクリーニング
・薬剤使用の注意などのご説明ご家庭での使用開始

4回目

・漂白効果・知覚過敏症状などのチェック
・継続して使用・経過の写真撮影

5回目

・漂白効果の確認、上下反対側の漂白に入ります。


価格

片顎27,500円(税込)
上下55,000円(税込)
※治療費が変更になる場合もありますので、施術前にご確認下さい。

ホワイトニングの流れと費用

wh1.jpg whi2_20201013224621236.jpg pe.jpg
 
 
1回目

・漂白の方法及び、料金についてご説明「漂白の注意事項説明・同意書」をお渡し

2回目

・治療対象部位と費用の合意確認・術前写真の撮影
・歯牙への薬剤貼付専用マウスピース(カスタムトレイ)の作製のための型どりを上(下)から始めます。
理由
上・下同時ではカスタムトレイの装着も大変なので漂白の効果を実感してもらい、どこまで進めるかの判断基準を残しておくため

3回目

・カスタムトレイの試適と調整
・歯牙表面のクリーニング
・薬剤使用の注意などのご説明ご家庭での使用開始

4回目

・漂白効果・知覚過敏症状などのチェック
・継続して使用・経過の写真撮影

5回目

・漂白効果の確認、上下反対側の漂白に入ります。


価格

片顎27,500円(税込)
上下55,000円(税込)
※治療費が変更になる場合もありますので、施術前にご確認下さい。

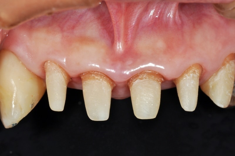
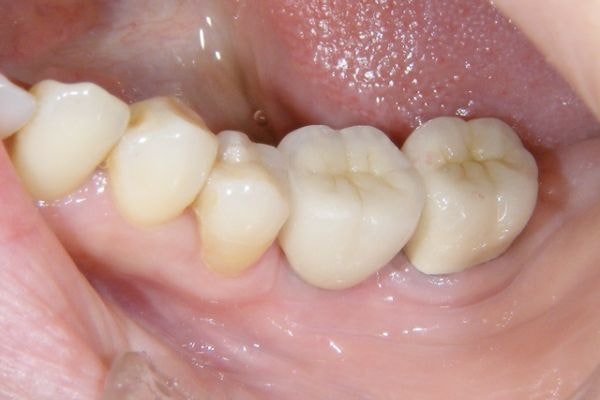
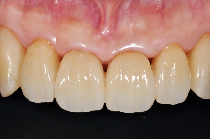
詰め物・被せ物

Ceramic

オールセラミック

cera_(2).jpg ce.jpg ce_(4).jpg e3.jpg cru.jpg cru1.jpg

金属を一切使わないセラミックのみでできた被せ物、詰め物です。

金属を使用していないため、天然歯により近い色合いや形態を再現でき、歯を美しく生まれ変わらせます。

透明感のある自然な歯にすることができる

オールセラミッククラウンの最大の特徴は、自然の歯のような透明感を出した被せ物を作ることができることです。
歯には神経があり黄色っぽい象牙質と歯の表面を覆っている透明なエナメル質があります。
このエナメル質の透明感を自然に作る事ができるのがオールセラミッククラウンなのです。
周りの歯の色に合わせたい、周りの歯の色より少し白くしたいなど、色を自由に選択することができます。
特に前歯へは金属を使わない治療をお勧めします。

オールセラミック

cera_(2).jpg ce.jpg ce_(4).jpg e3.jpg cru.jpg cru1.jpg

 
 

金属を一切使わないセラミックのみでできた被せ物、詰め物です。

金属を使用していないため、天然歯により近い色合いや形態を再現でき、歯を美しく生まれ変わらせます。
 

透明感のある自然な歯にすることができる

オールセラミッククラウンの最大の特徴は、自然の歯のような透明感を出した被せ物を作ることができることです。
歯には神経があり黄色っぽい象牙質と歯の表面を覆っている透明なエナメル質があります。
このエナメル質の透明感を自然に作る事ができるのがオールセラミッククラウンなのです。
周りの歯の色に合わせたい、周りの歯の色より少し白くしたいなど、色を自由に選択することができます。
特に前歯へは金属を使わない治療をお勧めします。


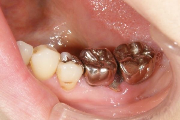
被せ物(クラウン)

fc_(3).jpg c9.jpg c10.jpg
ファイバーコア・メタルコア

グラスフアイバー製の白い土台です。
土台が白いので、上に被せる冠がより美しく仕上がります。
また、歯根破折を起こしづらい材質です。

c1.jpg pb043625-c1509.jpg
ジルコニア ポーセレン築造

素材は人エダイヤモンドと同じで、その上にポーセレンを盛って、細かいお色までご自分の歯に合わせます。
透明感もあり、審美性はNo1!
前歯にオススメです。
長く使用しても変色しません。

jil.jpg hc3.jpg
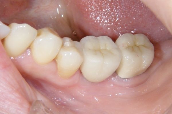
ジルコニア単体

ジルコニアのみで作る冠です。
小臼歯や大臼歯にオススメです。
非常に丈夫で、変色もしません。
ただ、細かいお色の再現は難しいです。

mb.png me1_(2).jpg
メタルボンド

金 属の上に陶材を焼き付けて作ります。
長期間変色しないのが最大の特徴です。
ご自分の歯との微妙な色あわせも可能です。

ve.jpg pla.003-thumb.jpg
ラミネートベニア

歯の表面を一層削って貼り付けるネイル感覚のセラミックです。
歯の色を変えたい、欠けた歯の形を整えたい、歯と歯の間を埋めたいなどが可能です。


バネのない入れ歯

ire21_20201017231537781.jpg den6_(2).jpg sm10.jpg sm11_20201017231521811.jpg
バネのない入れ歯も大きく審美に貢献いたします。
メリット・特徴

・金属クラスプが見えるのを好まない患者様
・金属アレルギー症の患者様の場合、樹脂のみの製作も可能(但し、耐久性・機能性には劣ります)
・設計は全ての局部床義歯に適用可能
・自然な見た目で、患者様に自然な外観を提供することが期待されます。
・材料や技術の進歩により、フィット感が向上しています。
・義歯は歯床に直接支えられるため、咬む力や圧力が歯床に均等に分散されるように作られ、歯床にかかる負担が軽減され快適性が向上します。
・しっかりとしたフィット感により、咬合力を効果的に維持します。
・薬事承認されているため安心。
・生体為害性が低い。
・吸水性が低い。
・簡単な修復がチェア-サイドでも可能

定期的な調整が必要

入れ歯は時間とともに口の形状が変化する可能性があります。
そのため、定期的な調整や再調整が必要です。
歯科医との定期的なチェックアップが大切です。

バネのない入れ歯

ire21_20201017231537781.jpg den6_(2).jpg sm10.jpg sm11_20201017231521811.jpg
 
 
バネのない入れ歯も大きく審美に貢献いたします。
メリット・特徴

・金属クラスプが見えるのを好まない患者様
・金属アレルギー症の患者様の場合、樹脂のみの製作も可能(但し、耐久性・機能性には劣ります)
・設計は全ての局部床義歯に適用可能
・自然な見た目で、患者様に自然な外観を提供することが期待されます。
・材料や技術の進歩により、フィット感が向上しています。
・義歯は歯床に直接支えられるため、咬む力や圧力が歯床に均等に分散されるように作られ、歯床にかかる負担が軽減され快適性が向上します。
・しっかりとしたフィット感により、咬合力を効果的に維持します。
・薬事承認されているため安心。
・生体為害性が低い。
・吸水性が低い。
・簡単な修復がチェア-サイドでも可能
 

定期的な調整が必要

入れ歯は時間とともに口の形状が変化する可能性があります。
そのため、定期的な調整や再調整が必要です。
歯科医との定期的なチェックアップが大切です。

アクセス

Access

医院名

あいファミリー歯科

院長

水野 史之

住所

〒079-8417 旭川市永山7条9丁目7-1

駐車場

17台分ご用意しております。

電話

(0166)48-7655

お支払い

自費診療に限りカード払い可能

クレジットカード払い

診療時間

Date.etc

月,水,金曜日

 9時~13時 / 14時30分~18時30分

火曜日

 9時~13時 / 15時00分~17時

木曜日

 9時~13時 / 午後インプラント

土曜日

 9時~13時 / 午後休診

月末最終日

 9時~13時 / 午後インプラント

休診日

日曜・祝祭日・年末年始・学会参加時

※月に2~3回 平日午後休診 / 月に1〜2回 土曜休診

 
 
電話QR
 お電話QR